கொரோனா வைரஸ் நுரையீரலில் ஏற்படுத்தும் தழும்புகள்
18 ஆடி 2020 சனி 05:46 | பார்வைகள் : 13335
கொரோனா வைரஸ் தாக்கிவிட்டால், அது மனித உடலில் பெரிய பாதிப்பை ஏற்படுத்துகிறது. குறிப்பாக நுரையீரலில் பெரிய தழும்புகள் ஏற்படுவது கண்டறியப்பட்டு உள்ளது. கொரோனா வைரஸ் பாதிப்புக்கு உரிய சிகிச்சை பெற்றாலும், பெறாவிட்டாலும் நுரையீரலில் இந்த தழும்புகள் ஏற்படுகிறதாம்.
இதனால் ஏற்படும் விளைவுகள் என்ன? என்பது பற்றி ராமநாதபுரத்தை சேர்ந்த நுரையீரல் சிகிச்சை நிபுணர் டாக்டர் ஜாவிட் அப்துல்லா கூறியதாவது:-
கொரோனா தொற்றிய அனைவருக்கும் நுரையீரலில் இந்த தழும்புகள் ஏற்பட்டு விடுகிறது. நோய் அறிகுறி தென்பட்டு ஒரு சில நாட்கள் கழித்து பரிசோதனை செய்து, அதன்பின்னர் சிகிச்சை பெற்று குணமடைந்த கொரோனா நோயாளிகள் மற்றும் அறிகுறிகள் இருந்தும் கண்டுகொள்ளாமல் நோய் எதிர்ப்பு சக்தி காரணமாக தானாக சரியான கொரோனா நோயாளிகள் ஆகியோருக்கு இந்த தழும்புகள் பெரிதாக உள்ளன.
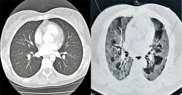
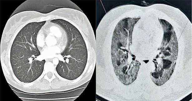
கொரோனாவால் தழும்பு ஏற்பட்டுள்ள நுரையீரல். பாதிப்பு இல்லாத முழுமையாக கருப்பு நிறத்திலான நுரையீரல்.
எனவே அறிகுறி தென்பட தொடங்கியதும் பரிசோதனை செய்து, கொரோனா வைரசிற்கு சரியான சிகிச்சை எடுத்துக்கொண்டவர்களுக்கு இந்த தழும்புகள், அதிக பாதிப்பை ஏற்படுத்தாதது பரிசோதனைகளின் மூலம் தெரியவந்துள்ளது. பொதுவாக கொரோனா வைரஸ் மனித உடலுக்குள் புகுந்ததும் நுரையீரல் திசுக்கள் பகுதியில் அரிப்பை ஏற்படுத்தி விடுகின்றன. இதனாலேயே இந்த தழும்புகள் ஏற்படுகின்றன. இதனை கண்டுகொள்ளாமல் இருந்தால் கொரோனாவில் இருந்து குணமாகி வந்தாலும் ஒரு சில மாதங்களில் அவர்களுக்கு மீண்டும் மூச்சுதிணறல், சுவாச கோளாறு போன்றவை ஏற்பட்டு விடுகிறது. இதனை அப்போதும் சரியாக கவனிக்காவிட்டால் ஆக்சிஜன் அளவு குறைந்து இதயம் பாதிப்படைந்து உயிரிழப்பும் ஏற்படலாம். தற்போது கொரோனா சிகிச்சை பெற்று குணமடைந்த பலர் இந்த தழும்புகளால் மீண்டும் சுவாச கோளாறு ஏற்பட்டு ஆஸ்பத்திரிகளுக்கு சிகிச்சைக்கு வருகின்றனர்.
அவர்களுக்கு கொரோனா வைரஸ் உடலில் இல்லாமல் இருந்தாலும் அதனால் ஏற்பட்ட நுரையீரல் பாதிப்பு காரணமாக இந்த சுவாசபிரச்சினைகள் ஏற்படுவது கண்டறியப்பட்டுள்ளது. சாதாரணமாக கருப்பு நிறத்தில் காணப்படும் நுரையீரல், இந்த தழும்பு ஏற்பட்டால் பாதிக்கப்பட்ட பகுதி கருப்பு நிறம் மாறி வெளிர் வெண்மை நிறமாக மாறிவிடும். சி.டி. ஸ்கேன் பரிசோதனையின் மூலம் இதனை கண்டறிய முடியும். எனவே, அனைவரும் உரிய நேரத்தில் அறிகுறி தென்படும் போதே கொரோனா பரிசோதனை செய்து, வைரசின் தீவிரத்தை ஆரம்ப கட்டத்திலேயே குறைத்து, நுரையீரலில் தழும்புகள் அதிகம் ஏற்படாமல் தற்காத்து கொள்ள வேண்டும்.
இவ்வாறு அவர் கூறினார்.
3 நாள்கள் முன்னர்
மரண அறிவித்தல்
திருமதி. இயூக்கிறிஸ்ரா நிலாந்தினி தவநேசன்
கொழும்பு, யாழ்ப்பாணம்
வயது : 44
இறப்பு : 07 Nov 2025
-
2






திருமண பொருத்தம்
குழந்தைகள் பெயர்
இன்றைய ராசி பலன்

















Annuaire
Scan